はじめまして。インビザライン担当医の鈴木 祐輔です。
私は父の背中を見て歯科医師の道に進みました。歯科医師になった当初から「困っている患者さんの悩みを解決してあげたい」という気持ちが強く、大学院で歯学博士を取得した後は、歯科治療の先進国であるアメリカで3年半ほどインプラントや矯正治療を中心にさまざまな知識や技術を習得してきました。
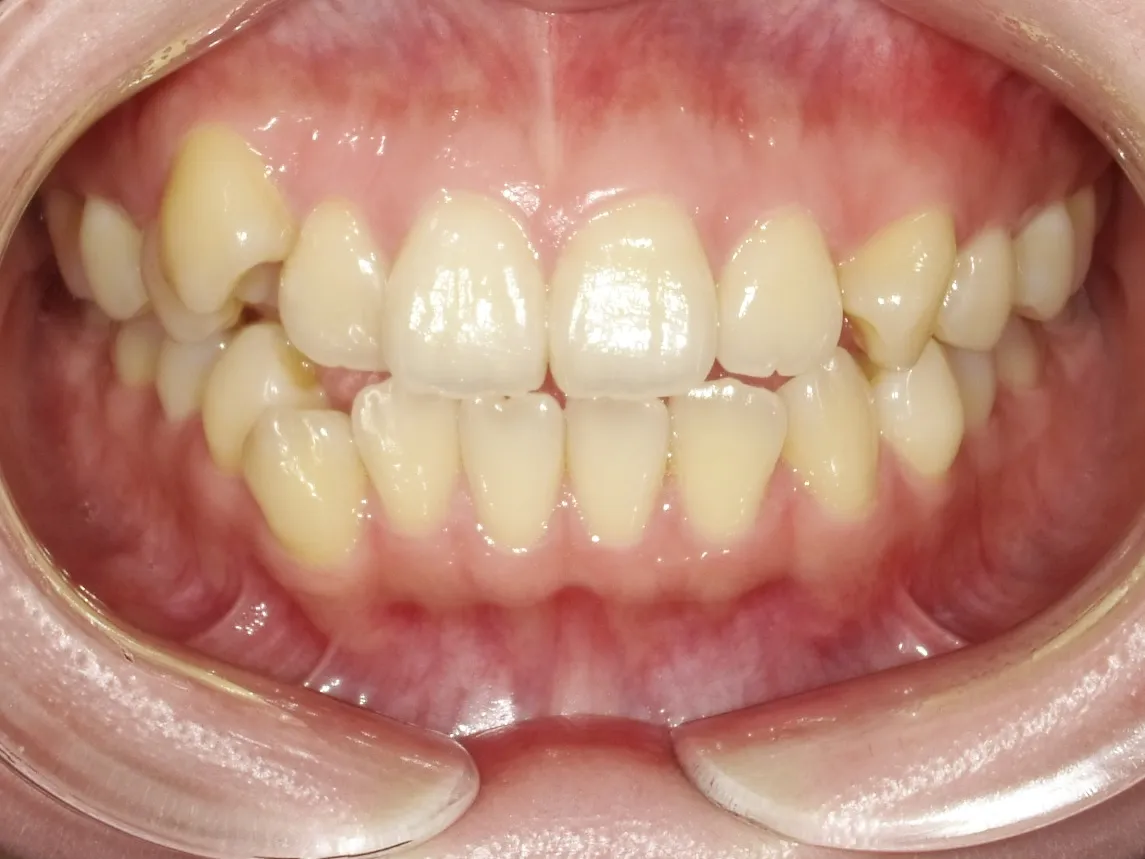
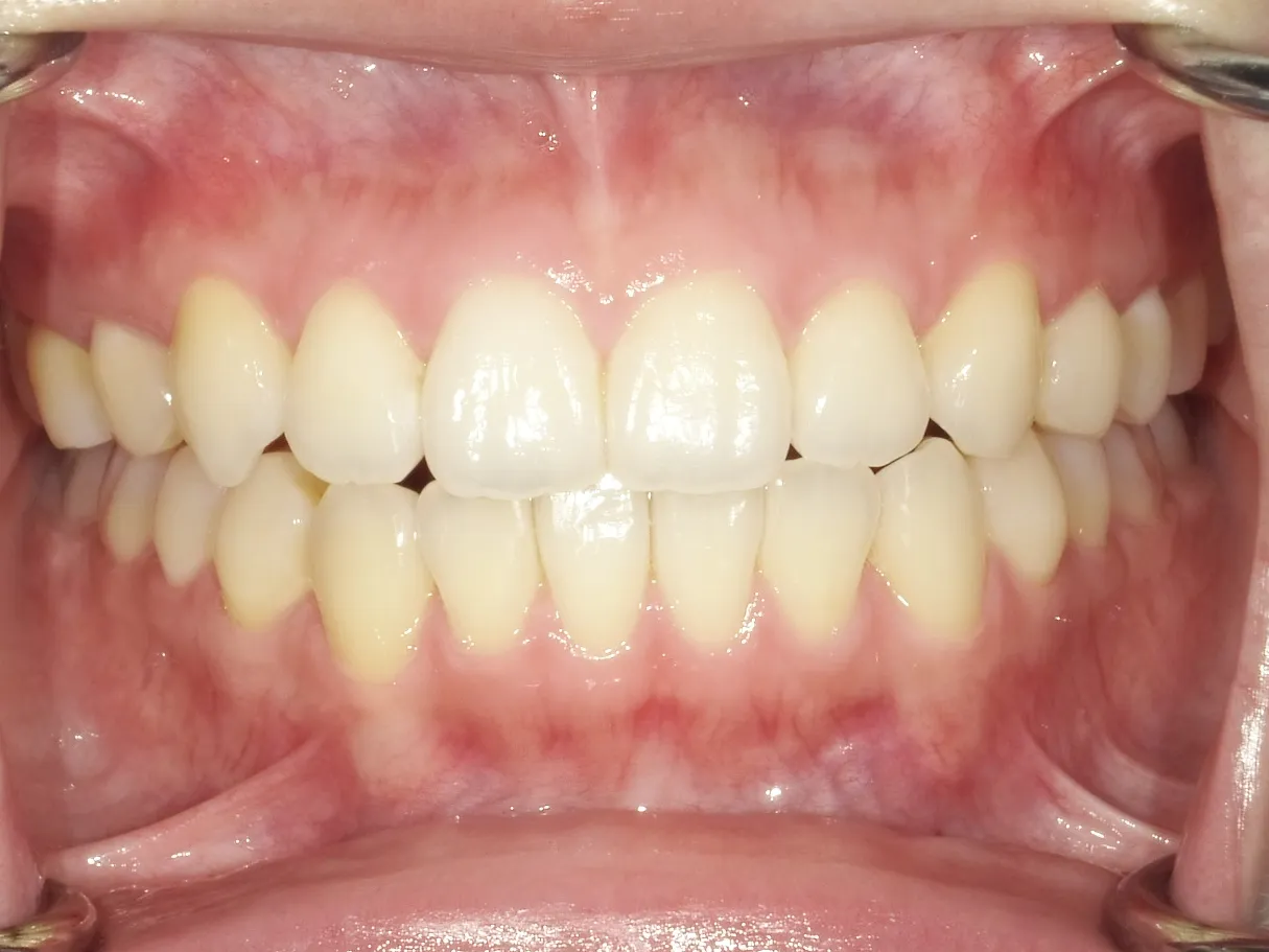
出っ歯やすきっ歯など同じような症状でも患者さんに合う治療は異なるため、私はできるだけたくさんの選択肢をお伝えし、患者さんに満足のいく治療を受けていただきたいと願っております。些細なことでも構いません。歯が痛い、入れ歯が合わないなど歯並びのことならお気軽にご相談ください。









































































